Metastatic Breast Cancer Enters a New Era of HER2 Classification

Oncology Live®, Vol. 23/No. 17, Volume 23, Issue 17

A dramatic presentation at the 2022 American Society of Clinical Oncology Annual Meeting changed treatment standards seemingly overnight for women with previously treated metastatic HER2-low breast cancer. However, fundamental questions remain.

A dramatic presentation at the 2022 American Society of Clinical Oncology (ASCO) Annual Meeting changed treatment standards seemingly overnight for women with previously treated metastatic HER2-low breast cancer. However, fundamental questions remain. What is HER2-low breast cancer? Are low levels of HER2 meaningful drivers of cancer progression? How can oncologists predict which patients will benefit from treatment with the antibody-drug conjugate (ADC) fam-trastuzumab deruxtecan-nxki (Enhertu)?

Investigators of the phase 3 DESTINY-Breast04 trial (NCT03734029) enrolled previously treated patients with HER2-low metastatic breast cancer, which was defined for the trial as a score of 1+ on immunohistochemical (IHC) analysis or an IHC score of 2+ and negative results on in situ hybridization (ISH). Among the 557 patients who were randomly assigned 2:1 to trastuzumab deruxtecan or physician’s choice of single-agent chemotherapy, the median progression-free survival (PFS) was 9.9 months in the trastuzumab deruxtecan group vs 5.1 months in the physician’s choice group (HR, 0.50; 95% CI, 0.40-0.63; P < .0001). Overall survival (OS) was 23.4 months with trastuzumab deruxtecan vs 16.8 months with physician’s choice (HR, 0.64; 95% CI, 0.40-0.86; P = .003).1

In addition to extending PFS and OS, trastuzumab deruxtecan was also better tolerated than the chemotherapies that physicians selected. Adverse events of grade 3 or higher were observed in 52.6% of the patients who received trastuzumab deruxtecan and 67.4% of those who received physician’s choice. Adjudicated, drug-related interstitial lung disease or pneumonitis occurred in 12.1% of the patients who received trastuzumab deruxtecan, and 0.8% of patients died.

News of the results elicited a rare standing ovation at the ASCO meeting, and the FDA subsequently approved the agent for the treatment of patients with HER2-low metastatic disease in August 2022 (Table).2

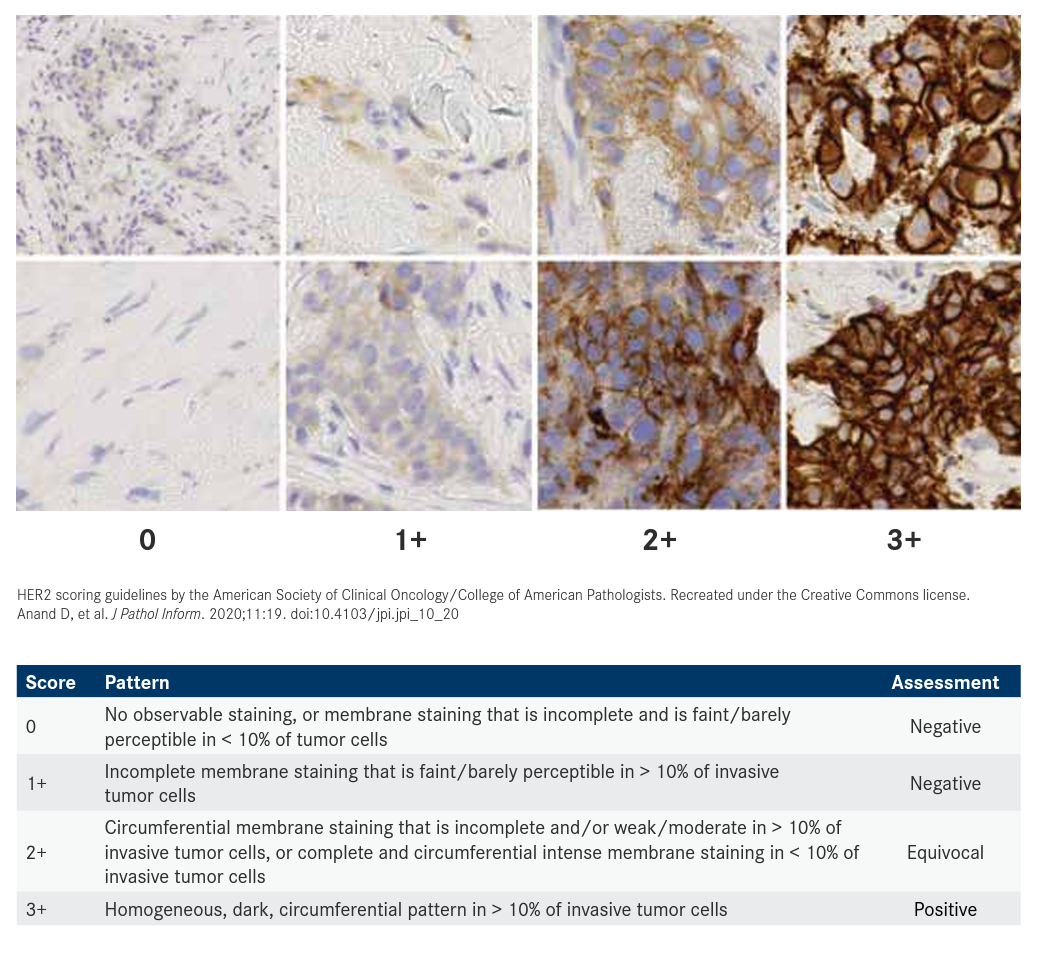
Defining HER2-Low Disease

Establishing definitive parameters for HER2-low disease is still a task set before oncologists and pathologists. Approximately 60% of breast cancers qualify as HER2 low based on the definition in DESTINY-Breast04.3 And although targeted drugs have transformed outcomes for the 15% to 20% of patients with breast cancer with significantly elevated HER2 expression, this was the first time that a drug targeted at HER2 proved beneficial to patients who met this definition of HER2-low breast cancer.4

HER2 is a membrane tyrosine kinase expressed at low levels by many healthy cells that is dramatically overexpressed (40- to 100-fold) by a minority of cancers that can have several million HER2 receptors per cell.5

“Existing IHC assays were optimized to distinguish overexpression from normal expression. They have an adequate dynamic range for that purpose but [are] suboptimal to distinguish different HER2 groups among tumors with lower levels of expression. Almost all breast cancers do express some HER2, and an IHC result of 0 is often the result of an artifact caused by formalin fixation rather than truly representing no HER2 protein present. For that reason, current IHC assays are unfit for the purpose of creating a new category of HER2 low,” said Antonio C. Wolff, MD, a professor of oncology at Johns Hopkins University and director of breast cancer trials in the Women’s Malignancies Program at Johns Hopkins Kimmel Comprehensive Cancer Center in Baltimore, Maryland. “Therefore, rather than creating a new category, for now it is better to simply describe the eligibility criteria used for the study to identify patients who could be candidates for this drug.”

Testing HER2 expression levels has long been a challenge. In 2007, 9 years after the initial approval of trastuzumab (Herceptin), an expert panel convened by ASCO and the College of American Pathologists (CAP) concluded that both IHC and ISH returned inaccurate results in approximately 20% of cases. They recommended testing standards for HER2 overexpression that, among other improvements, sometimes combined the 2 methods to reduce the error rate.6 Those first ASCO/CAP guidelines were updated in 2013 and again in 2018, but even the most recent guidelines make no mention of HER2-low cancers. They also give no advice for separating cancers with small amounts of HER2 expression from cancers that do not express HER2 at all because, as the authors note, “data from [the NSABP-B-47; NCT01275677 trial] confirmed the lack of benefit from adjuvant trastuzumab for patients whose tumors lack gene amplification and are IHC 1+ or 2+. Consequently, HER2 gene amplification assessed by ISH or protein overexpression assessed by IHC remains the primary predictor of responsiveness to HER2-targeted therapies in breast cancer.”7

Amplification or overexpression of HER2 has long been known to drive tumor growth and aggressiveness. Before the development of targeted therapies, HER2-positive status was associated with shorter survival.8 The question now, which has been investigated in a pair of recent studies, is whether having low levels of HER2 expression produce different cancer progression and outcomes than having no HER2 at all.

In the first of those studies, findings from which were presented at the 2022 ASCO meeting, investigators mined the National Cancer Database for outcome data on patients with metastatic breast cancer whose cancers scored 0 (HER2 0) or 1+/2+ (HER2 low) on IHC testing. There were no differences between the 6865 HER2-0 patients and the 17,771 HER2-low patients in age, race, year treated, location, income, insurance status, Charlson Deyo comorbidity index score, laterality, T stage, N stage, or use of systemic therapy. There was, however, a difference in hormone receptor status; HER2-low tumors were half as likely to have concomitant hormone receptor–negative status. Among hormone receptor–negative patients, the 3-year survival rate was 33.8% for HER2-low and 32.2% for HER2-0 patients. Among hormone receptor–positive patients, the survival rate was 60.9% in HER2-low and 55.6% in HER2-0 patients. HER2-low status was associated with longer survival on multivariable regression analysis (HR, 0.91; 95% CI, 0.87-0.95), even with propensity score matching (HR, 0.92; 95% CI, 0.89-0.96). In a subset analysis isolated to hormone receptor–positive cases, HER2 low remained correlated with improved survival (HR, 0.93; 95% CI, 0.89-0.98) with propensity-matched multivariable regression analysis.9

In the second study, whose results were published in JAMA Oncology, investigators compared outcomes of 5235 consecutive patients with nonmetastatic HER2-low or HER2-0 breast cancer who underwent surgery between January 2016 and March 2021 at Dana-Farber Brigham Cancer Center in Boston, Massachusetts. Although the patient populations were different (metastatic vs nonmetastatic cancers), the definitions of HER2 low (IHC score of 1+ or 2+) and HER2 0 (IHC score of 0) were the same as in the previously mentioned study. Also, in that study, hormone receptor expression was significantly more common among HER2-low tumors than HER2-0 tumors (90.6% vs 81.8%; P < .001).

Investigators also found a correlation between the expression of estrogen receptors (ERs) and HER2. Patients with HER2-0 tumors experienced higher pathologic complete response rate (pCR) than patients with HER2-low tumors after neoadjuvant chemotherapy (26.8% vs 16.6%; P = .002). However, after controlling for hormone receptor and ER status, there were no significant differences in pCR, disease-free survival, distant disease–free survival, or OS between patients with HER2-low and HER2-0 breast cancer.10

“We wanted to look at the prognosis for patients with HER2-low breast cancer compared [with] HER2-0 breast cancer. We explored data from our institution’s large prospective database and discovered that they don’t have a different prognosis, if you correct for the expression of the estrogen receptor,” said senior study author Sara M. Tolaney, MD, MPH, chief of the Division of Breast Oncology at Susan F. Smith Center for Women’s Cancers at Dana-Farber Cancer Institute. “In our mind, if the prognosis of these cancers is not different, it suggests that they’re really not biologically different cancers and low HER2 expression is likely not an oncogenic driver for that cancer.”

Tolaney stressed that while this finding provides new information about tumor behavior, it should do nothing to dampen excitement about trastuzumab deruxtecan’s apparent effect on HER2-low tumors. “There’s no need for an ADC to target an oncogenic driver. If it can reliably bind to the tumor, it can deliver the chemotherapy exactly where it needs to,” she said. “It is very critical to understand if tumors are HER2-low positive, not because it’s associated with a different prognosis, but rather because it’s allowing you to utilize a very novel therapy that can dramatically impact patient’s outcomes.”

Of course, given that both studies used IHC to separate patients whose tumors were HER2 low from those whose tumors were HER2 0, some tumors were categorized incorrectly in both studies. Indeed, in data from a new study from Yale Cancer Center in New Haven, Connecticut, investigators concluded that current IHC tests struggle severely to differentiate between IHC 1+ and IHC 0 tumors.

In this study, investigators collected data from a survey conducted by CAP and a Yale-based study of concordance among 18 pathologists reading 170 breast cancer biopsies. The CAP analysis showed that 19% of the cases read by 1400 laboratories generated results with less than 70% agreement between a HER2 score of 0 vs 1+. In the second part of the study, in which 18 pathologists read the same slides from a selected set of breast cancer biopsies using the 4-point scale, there was only 26% agreement among pathologists on scores of 0 and 1+.

Investigators said the disagreement was due to the poor quality of the current IHC test in this critical range that will likely determine which women are eligible for trastuzumab deruxtecan.11

“Although the test returns 4 different scores—0, 1, 2, or 3—it is not actually designed to differentiate 0s from 1s. It’s designed to give you a yes/no answer about whether a tumor massively overexpresses HER2 in a way that would make trastuzumab a good treatment,” said senior study author David Rimm, MD, PhD. Rimm is the Anthony N. Brady Professor of Pathology and a professor of medicine at Yale University School of Medicine. He also serves as director of Yale Pathology Tissue Services, director of the Yale Cancer Center Tissue Microarray Facility, and director of the Physician Scientist Training Program in Pathology Research. “We’ve always known this, but the results of this study indicate that the biggest factor in determining whether a result is interpreted as a 0 or a 1+ is chance, and that will likely lead to the mismanagement of many patients in terms of who gets treated with trastuzumab deruxtecan.”

Is it possible to develop a test that more accurately distinguishes tumors with low HER2 expression from those with no HER2 expression (Figure12)? “We’ve already developed one,” Rimm said, adding that diagnostic companies are also developing higher sensitivity tests because of the large unmet need. “Of course, you’d need to validate any test that’s developed, but that can be done in a reasonable time frame.”

The IHC test’s inability to differentiate between low and nonexistent levels of HER2 expression also creates a potential problem with the DESTINY-Breast04 results. “To be eligible for the study, patients needed to have a tumor that tested HER2 IHC 1+ or IHC 2+ without gene amplification. Patients with IHC 0 were not eligible for the study, and it is quite plausible that this antibody-drug conjugate would be active in them too, but this must be confirmed,” Wolff said. Some evidence exists about the effect of trastuzumab deruxtecan in patients whose tumors receive IHC scores of 0 from the phase 2 DAISY trial (NCT04132960), which reported results during the European Society for Medical Oncology Breast Cancer Congress 2022 and the 2021 San Antonio Breast Cancer Symposium.

Investigators in DAISY assigned 186 patients with metastatic breast cancer to 1 of 3 cohorts based on HER2 IHC expression: IHC 3+ or IHC 2+/ISH+ (cohort 1; n = 68); IHC 2+/ISH- or IHC 1+ (cohort 2; n = 72); and IHC 0+ (cohort 3; n = 37). All patients received 5.4 mg/kg trastuzumab deruxtecan intravenously on day 1 of 21-day cycles.

Best objective response (BOR) favored cohort 1 (71.0%; 95% CI, 58.3%-81.0%) over cohort 2 (37.5%; 95% CI, 26.4%-50.0%) and cohort 3 (30.0%; 95% CI, 16.0%47.0%). Investigators also found that those in cohort 1 had the longest median PFS at 11.1 months compared with 6.7 months in cohort 2 and 4.2 months in cohort 3.13,14 These results indicate that trastuzumab deruxtecan is more effective in patients with IHC scores of 1+ than it is in patients with IHC scores of 0, but it says nothing about the relative effectiveness of trastuzumab deruxtecan vs other treatments in patients with IHC scores of 0. It is therefore possible that many such patients would receive some benefit.

“I predict that a lot of savvy oncologists will, upon having a patient’s IHC test come back 0, advise that patient to send the sample to be read at a different lab, knowing there’s a strong chance it will be upgraded to a 1 and they will qualify for this treatment,” Rimm said. “Patients will want to try this medication. Those results were spectacular.”

References

  1. Modi S, Jacot W, Yamashita T, et al; DESTINY-Breast04 Trial Investigators. Trastuzumab deruxtecan in previously treated HER2-low advanced breast cancer. N Engl J Med. Published online June 5, 2022. doi:10.1056/NEJMoa2203690
  2. FDA approves fam-trastuzumab deruxtecan-nxki for HER2-low breast cancer. FDA. August 5, 2022. Accessed August 22, 2022. bit.ly/3zGfOPt
  3. Tarantino P, Hamilton E, Tolaney SM, et al. HER2-low breast cancer: pathological and clinical landscape. J Clin Oncol. 2020;38(17):1951-1962. doi:10.1200/JCO.19.02488
  4. Fehrenbacher L, Cecchini RS, Geyer CE Jr, et al. NSABP B-47/NRG Oncology phase III randomized trial comparing adjuvant chemotherapy with or without trastuzumab in high-risk invasive breast cancer negative for HER2 by FISH and with IHC 1+ or 2. J Clin Oncol. 2020;38(5):444-453. doi:10.1200/JCO.19.01455
  5. Kallioniemi OP, Kallioniemi A, Kurisu W, et al. ERBB2 amplification in breast cancer analyzed by fluorescence in situ hybridization. Proc Natl Acad Sci U S A. 1992;89(12):5321-5325. doi:10.1073/pnas.89.12.5321
  6. Wolff AC, Hammond ME, Schwartz JN, et al; American Society of Clinical Oncology/College of American Pathologists. American Society of Clinical Oncology/College of American Pathologists guideline recommendations for human epidermal growth factor receptor 2 testing in breast cancer. Arch Pathol Lab Med. 2007;131(1):18-43. doi:10.5858/2007-131-18-ASOCCO
  7. Wolff AC, Hammond MEH, Allison KH, et al. Human epidermal growth factor receptor 2 testing in breast cancer: American Society of Clinical Oncology/College of American Pathologists clinical practice guideline focused update. J Clin Oncol. 2018;36(20):2105-2122. doi:10.1200/JCO.2018.77.8738
  8. Rubin I, Yarden Y. The basic biology of HER2. Ann Oncol. 2001;12(suppl 1):S3-S8. doi:10.1093/annonc/12. suppl_1.s3
  9. Hasa S, Neubauer Z, Press RH, et al. Prognostic implications of HER2Neu0low in metastatic breast cancer. J Clin Oncol. 2022;40(suppl 16):1044. doi:10.1200/JCO.2022.40.16_suppl.1044
  10. Tarantino P, Jin Q, Tayob N, et al. Prognostic and biologic significance of ERBB2-low expression in early-stage breast cancer. JAMA Oncol. 2022;8(8):1177-1183. doi:10.1001/jamaoncol.2022.2286
  11. Fernandez AI, Liu M, Bellizzi A, et al. Examination of low ERBB2 protein expression in breast cancer tissue. JAMA Oncol. 2022;8(4):1-4. doi:10.1001/jamaoncol.2021.7239
  12. Anand D, Kurian NC, Dhage S, et al. Deep learning to estimate human epidermal growth factor receptor 2 status from hematoxylin and eosin-stained breast tissue images. J Pathol Inform. 2020;11:19. doi:10.4103/jpi.jpi_10_20
  13. Mosele F, Lusque A, Diéras V, et al. Unraveling the mechanism of action and resistance to trastuzumab deruxtecan (T-DXd): biomarker analyses from patients from DAISY trial. Ann Oncol. 2022;33(suppl 3):S123-S147. doi:10.1016/annonc/annonc888
  14. Diéras V, Deluche E, Lusque A, et al. Trastuzumab deruxtecan (T-DXd) for advanced breast cancer patients (ABC), regardless HER2 status: a phase II study with biomarkers analysis (DAISY). Clin Cancer Res. 2022;82(suppl 4):PD8-02. doi:10.1158/1538-7445.SABCS21-PD8-02